一次常规的肝硬化患者肝脏超声复查,竟意外探查到患者体内潜藏的致命“炸弹”——主动脉夹层!危急值上报、多学科联动、紧急CT确诊……一场与死神赛跑的诊断迅速展开。

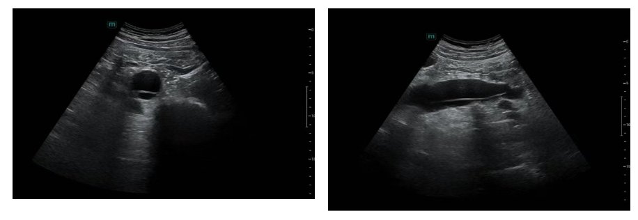
近日,一位青年男性患者因肝硬化来到北京地坛医院徐州医院(徐州七院)超声医学科进行常规超声复查。科室主任潘国栋有一个小习惯,在对检查部位进行扫查评估的同时,也会对毗邻脏器和大血管状态进行查看。当探头扫过上腹部椎体前方区域时,潘国栋敏锐地捕捉到腹主动脉的影像存在异常:管腔内可见一条高回声飘带影,将血管腔分隔开来,这高度提示着一种极其凶险的疾病:主动脉夹层!

超声危急值!意识到病情的极端危重性(主动脉夹层破裂死亡率极高,每小时增加约1%),潘国栋迅速与科内王慧医生会诊、复核图像,确认从腹腔干分叉水平到髂血管分叉水平均可看到异常的内膜回声后,立即按照医院危急值报告制度启动应急流程,第一时间通过危急值上报系统,将“疑似主动脉夹层”的危急值结果报告给患者的主治医生,并致电临床医生描述超声所见,强调病情的紧迫性和危险性,建议立即行进一步确诊检查。在确保安全的前提下,简明告知患者发现严重问题需紧急处理,稳定其情绪,避免剧烈活动。
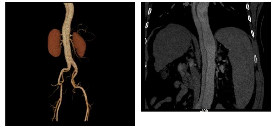
接到危急值报告后,临床医生迅速为患者安排了急诊主动脉CTA。CTA结果证实:患者确实有主动脉夹层,主动脉血管壁从内膜撕裂,血流冲入中层形成“假腔”,主动脉管腔呈“双腔”改变,后经完善主动脉CTA检查证实为Debakey III型。

诊断明确后,肝病中心联合心内科等相关科室专家紧急会诊,评估患者病情,为患者后续治疗赢得了极其宝贵的“黄金时间”。
主动脉夹层是超声检查中明确界定的危急症之一。主动脉夹层的早发现,不仅有利于挽救患者的生命,更凸显了超声检查在急危重症早期识别中的独特价值。而危急值报告制度是保障患者安全的重要防线。医技科室及临床科室严格遵循制度,上报及时、沟通有效、流程顺畅,确保了信息传递无阻,为患者争取了最大生机。这次危急值报告案例,是我院超声医学科医生精湛技术、高度责任心、敏锐洞察力以及规范执行危急值制度的完美体现,也是我院多学科高效协作、应对急危重症能力的有力证明。
专家简介

潘国栋
➸首都医科大学附属北京地坛医院超声科 副主任医师;农工民主党党员;中日医学科技交流协会超声医学分会委员。
➸从事超声诊疗工作20余年,具有丰富的工作经验。每年高质量完成超声诊断及治疗病例近万例。熟练掌握腹部、妇产科、浅表器官(甲状腺、乳腺、肌肉神经等)、外周血管心血管疾病的彩色多普勒超声检查及超声介入操作,尤其擅长腹部、浅表器官、血管疾病的超声诊断,在疑难危重疾病的超声诊断方面有一定造诣。对于疑难及危重病例,能够依据循证医学的观点,思路清晰做出诊断。
➸以第一作者发表本专业论文8篇,获得国家专利授权2项,参与多项科研项目研究工作。
苏公网安备32030302000502号